Distracción Alveolar Histogénica con Implante Dental


Distracción Alveolar Histogénica, utilizando la ortodoncia como distractor en implante mal colocado verticalmente alto.
CONCEPTO
La osteogénesis por distracción es la creación de hueso neoformado y de tejidos blandos adyacentes tras el desplazamiento gradual y controlado de un fragmento óseo obtenido mediante osteotomía quirúrgica. Esta histogénesis activa no ocurre únicamente en el hueso, sino también en tejido cutáneo, muscular, vascular y nervioso periférico.
A NIVEL DE LOS DIENTES Y EL PERIODONTO.
Se han observado histológicamente cambios regenerativos y neohistogénesis en la encía, y se ha demostrado que esta técnica permite elongar la encía adherida.9 Además del aumento de los tejidos blandos, estudios recientes, han demostrado la capacidad para regenerar el ligamento periodontal, así como un pequeño, pero estadísticamente significativo aumento del cemento radicular con distracción osteogénica. Se ha observado que los dientes en desarrollo pueden erupcionar y la formación de su raíz puede continuar en el área distraída, a pesar de que en la cirugía se hayan podido dañar los gérmenes dentarios.
INDICACIONES
A nivel del reborde alveolar la distracción está indicada en los casos en los que es necesario: – Crear dimensiones para la colocación de implantes dentales. – Mejorar la estética crestal para la colocación de un póntico. – Mejorar el soporte periodontal de los dientes. – Expandir el alveolo para movimientos ortodóncicos. – Distraer injertos previos para la colocación de implantes. – Movilizar de incisivos anquilosados que no pueden desplazarse por mecanismos ortodóncicos.
IMPLANTES INTEGRADOS EN FORMA INADECUADA
MÉTODO DE DISTRACCIÓN ALVEOLAR
La distracción osteogénica se basa en cinco períodos secuenciales.
- Osteotomía. Consiste en "la fractura" de un segmento óseo.
- Período de latencia. Intervalo desde la colocación del distractor hasta el comienzo de la tracción.
- Período de distracción. Caracterizada por la aplicación de fuerzas a los segmentos osteotomizados.
- Período de consolidación. Es el tiempo que transcurre desde que cesa la fuerza de tracción y se retira el distractor.
- Período de remodelación.
La distracción alveolar vertical fue inicialmente descrita por Chin y Toth en 1996, demostrándose en diferentes estudios que esta técnica es una alternativa a los métodos tradicionales utilizados para el aumento óseo vertical en la corrección de defectos óseos alveolares congénitos o adquiridos. En este caso utilizamos dicha técnica para corregir iatrogenias en implantes dentales.


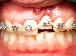
Se realizó distracción alveolar vertical histogénica, incluyendo el implante. La mecánica de la distracción usada en este caso en especial es la tracción elástica y/o alámbrica mediante brackets de ortodoncia.
CASO CLÍNICO:
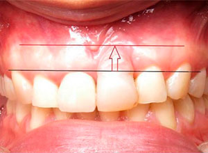
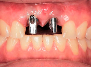
Paciente femenino a la cual le colocaron implante alto verticalmente, presentando a la vista una corona con un excedente de aproximadamente 5 milímetros, de porcelana rosa.

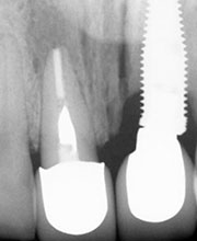
La paciente inconforme con los resultados nos visita, realizamos estudios radiográficos y tomográficos, encontrando que se perdió hueso verticalmente en el implante.



Decidimos hacer una corticotomia alveolar, dejando tejidos blandos en su lugar y cambiar la corona de cerámica por una corona de acrílico para cementar bien los brackets y poder empezar con la distracción.


Después de la corticotomia dejamos un tiempo de siete días para que se organizaran las células tisulares.


Se empezó a hacer la distracción, primero con un arco recto y posteriormente con elásticos haciendo el recorte con el borde incisal conforme se va bajando el implante con el bloque óseo.



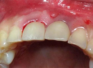
Al término de la distracción dejamos pasar tres meses con una férula en acrílico. En el diente 21 que habíamos visto en la radiografía un problema de un absceso periapical y periodontal.


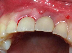
Sindesmotomía del tejido

Extracción, limpieza y curetaje del alveolo

Poste direccional del implante

Radiografía del poste de guía

Material osteogénico en masa

Sutura y reconstrucción del tejido blando papilar
Dejamos que el implante se oseointegre para terminar con la rehabilitación protésica.


Nótese la colocación de los postes y el respeto a la forma de los tejidos gingivales y las papilas, muy importante para obtener el resultado estético final.

Colocación de postes rectos o angulados

Nótese el manejo de las zonas papilares

Provisionalización para el manejo de tejidos blandos

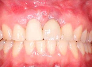
Colocación de prótesis de zirconia y cerámica
DISCUSIÓN:
El doctor CMF Molina Moguel José Luis y la ortodoncista Lorena Molina Vázquez utilizaron la ortodoncia como distractor histogénico, obteniendo buen resultado en la recolocación del implante, el hueso y los tejidos tisulares, en este caso junto a la extracción y colocación inmediata de implantes.
Autores: CMF J.L. Molina Moguel y CD Ortodoncista Lorena Molina V.
Referencias bibliográficas:
- Donado Rodríguez M, Donado Azcarate A, Guisado Moya B, Ortega Arannegui R, Sanz Casado J. Anatomía implantológica. Bases morfológicas y su aplicación clínica en implantología dental. Ed. Ars Médica. Barcelona 2003.
- Oda T, Sawaki Y, Fukuta K, Ueda M. Experimental alveolar ridge augmentation by distraction osteogenesis using a simple device that permits secondary implant placement. Int J Oral Maxillofac Implants. 2000;15:95-102
- Block MS, Brister GD. Use of Distraction Osteogenesis for maxilary Advancement: Preliminary Results. J Oral Maxillofac Surg. 1994;52:282-286
