
La toma de injertos óseos de la rama mandibular es, en la actualidad, la técnica Intraoral de elección. El área para la toma del injerto es la comprendida entre el primer molar y la rama ascendente de la mandíbula, a nivel de la línea oblicua externa. Es de tipo principalmente cortical, ya que la presencia del canal mandibular limita la posibilidad de una recolección de hueso esponjoso. Como la calidad del hueso es de tipo I-II, el injerto necesita recortarse a las dimensiones de la zona de recepción.
El injerto óseo intraoral en el área retro molar-rama ascendente de la mandíbula permite obtener hasta 12-15 ml de hueso cortical, especialmente apropiado para reconstrucciones horizontales y verticales de la cresta, las cuales tienen su indicación en la restauración ósea de defectos que afectan a las zonas edéntulas anteriores superiores.
Además, lo compacto de la cortical hace que sea muy difícil también su reducción a hueso triturado, a menos que la misma se realice con instrumentos adecuados.
La cirugía se realiza con anestesia local (articaína 4% con 1:100000 de epinefrina). Se realiza una anestesia local del nervio dentario de la zona donadora y una infiltración subperióstica en la zona receptora. La incisión con hoja del no 15 se hace preservando las papilas. Se levanta un colgajo mucoperióstico en la zona receptora preservando las papilas de los dientes adyacentes. Se mide el tamaño de la zona a injertar y se realiza una incisión recta desde el inicio de la rama ascendente mandibular hasta el segundo molar mandibular. Se diseca lateralmente la mucosa hasta lograr exponer la parte posterior del cuerpo de la mandíbula.
La irrigación de esta área es suministrada por la arteria milohioidea, rama de la arteria alveolar inferior, mientras que la inervación es suministrada, además de por el nervio alveolar inferior, por el nervio lingual, que tiene un trayecto más medial
El margen anterior de la rama se continúa lateralmente sobre el cuerpo, formando un relieve óseo denominado línea oblicua externa. Sobre la cara externa se inserta el margen inferior del músculo maletero. La cara interna presenta en la mitad, entre el margen anterior y el posterior, el agujero mandibular limitado hacia delante por la língula mandibular.
Se irriga profusamente la zona dadora con suero fisiológico y suturamos la incisión con catgut crómico. Una vez obtenido el injerto se preserva envuelto en una gasa húmeda con suero fisiológico isotónico y se remodela con la ayuda de unas pinzas gubia hasta adaptarse a la forma del defecto a injertar. La zona dadora puede prepararse mediante la perforación de la cortical externa con el fin de obtener un sangrado que facilite la revascularización del injerto.
Los beneficios de este injerto de rama ascendente de rama mandibular:
Radiografía Panorámica del paciente, se observa pérdida dentaria y ósea en sector anterior.
Con el Injerto óseo modelado, se procede a colocar en el defecto óseo, fijándolo con tornillos, para asegurar su estabilidad.
Se espera de 6 a 8 meses para lograr la integración del injerto, se descubre el área para la colocación de implantes dentales.
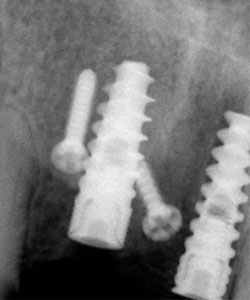
Se observa la integración de los implantes, en algunos casos se puede dejar los tornillos de fijación, bien integrados. El paciente está listo para la rehabilitación protésica.
Palabras Clave: injerto óseo, autólogo, rama ascendente, defecto óseo, maxilar atrófico, implante dental, oseointegración.