diciembre, 2025

Línea Barcelona. Estudio multicéntrico de validación de una referencia de proyección facial en cirugía ortognática.

El artículo presenta un estudio multicéntrico que valida la "Línea de Barcelona" (BL) como una referencia estética para determinar la posición sagital del maxilar en cirugía ortognática.
diciembre, 2025

Injerto óseo con biomaterial granular en osteotomía maxilar segmentaria

Se describe el caso de una paciente de 24 años con mordida abierta anterior y discrepancias oclusales, tratada mediante osteotomía maxilar segmentaria y un injerto óseo utilizando gránulos de Bio-oss®.
diciembre, 2025

Planificación asistida por ordenador en cirugía ortognática: revisión sistemática

Es una revisión sistemática que evalúa la precisión y los beneficios de la planificación asistida por computadora (PAC) en cirugía ortognática
diciembre, 2025

Protocolos de superposición tomográfica en cirugía ortognática: revisión sistemática

Se presenta una revisión sistemática sobre los protocolos de superposición de imágenes de tomografía computarizada (TC) tridimensional (3D) utilizados para evaluar los cambios dentomaxilofaciales
diciembre, 2025

Corrección de la asimetría facial resultante de la hiperplasia hemimandibular

Aborda el tratamiento quirúrgico de la hiperplasia hemimandibular, una deformidad facial caracterizada por el crecimiento excesivo unilateral de la mandíbula, que genera asimetría facial y problemas estéticos.
diciembre, 2025

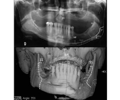
Guía quirúrgica personalizada en disyunción pterigomaxilar transmucosa

Presenta una técnica innovadora para la disyunción pterigomaxilar transmucosa utilizando una guía quirúrgica personalizada, diseñada mediante planificación virtual preoperatoria.
diciembre, 2025

Efecto de la genioplastia estética en las vías respiratorias superiores

El artículo analiza el impacto de la genioplastia ósea estética aislada en el volumen de las vías respiratorias superiores (VAS).
diciembre, 2025

Control de los cambios nasales en la osteotomía Le Fort I

Los efectos adversos en la región nasolabial tras la osteotomía de Le Fort 1, una cirugía ortognática que puede provocar cambios como el ensanchamiento de la base nasal, elevación de la punta nasal y acortamiento del labio superior.
diciembre, 2025

Estabilidad quirúrgica en cirugía ortognática: síntesis de revisiones

El artículo presenta una revisión sistemática sobre la estabilidad quirúrgica en cirugía ortognática, con el objetivo de establecer una jerarquía basada en evidencia científica.
diciembre, 2025

Enfoque mínimamente invasivo en genioplastia: impacto mentolabial

Se analiza la predictibilidad de un abordaje mínimamente invasivo de genioplastia en los tejidos blandos mentolabiales mediante un estudio de cohorte retrospectivo.
octubre, 2025

Comparación de artículos flujo digital

Se aborda la evolución de la cirugía ortognática que está fuertemente marcada por la implementación de tecnologías digitales que permiten planificación tridimensional precisa, personalización de dispositivos quirúrgicos y ejecución mínimamente invasiva de los procedimientos.
diciembre, 2023

El agua electrolizada y agua activada por plasma en aerosol dental como antiséptico y viricida en época del sars cov-2

YouTube