Implantes Dentales en Edentulismo Maxilar Manejados con Imágenes 3D y All on Six

El edentulismo es un estado de la salud bucal que corresponde a la ausencia de piezas dentarias, se clasifica en edentulismo parcial y edentulismo total. Las causas que lo producen son diversas, siendo las principales la caries dental y la enfermedad periodontal. La pérdida de dientes altera las funciones de sistema estomatognático, como es la masticación, la fonética y la estética.
Por tal motivo, la odontología rehabilitadora se especializa en la realización de tratamientos en pacientes con alteraciones de cualquier nivel de complejidad devolviendo la función, estética y la armonía del sistema estomatognático mediante el uso de prótesis dentales de tipo fijo, removible y/o total en reemplazo a las piezas dentarias perdidas, buscando siempre una correcta oclusión.

Caso Clínico:
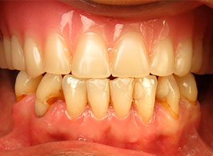
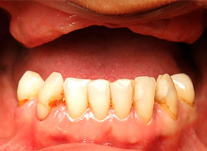
La paciente se presenta para valoración de maxilar superior y su mandíbula, con la posibilidad de colocar implantes dentales. Se manda toma de radiografía panorámica y una tomografía computarizada.


La tomografía se transporta a un estudio 3D, en donde se encuentra un maxilar sumamente atrófico, con muy poco soporte de hueso y se procede a hacer el plan de tratamiento en este estudio 3D.
Se muestran imágenes del estudio 3D con la colocación de 6 implantes de titanio en el maxilar superior que se colocarán de forma especial para levantar la parte del seno maxilar y colocar injertos de hueso. Estos 6 implantes quedarán colocados en una forma oblicua, de tal manera que se van a necesitar aditamentos especiales multidireccionales con el objetivo de colocar al final una prótesis fija, la finalidad y el objetivo principal es terminar el tratamiento con una prótesis completamente fija.





Para la cirugía de implantes all on 6, se tomó plasma rico en fibrina, obtenido del mismo paciente.

Colocación del primer implante

Colocación de PRF

Colocados los 6 implantes se procedió a suturar los tejidos

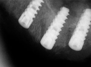
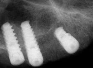
Radiografías periapicales donde se observa la posición de los implantes.

Radiografías periapicales donde se observa la posición de los implantes.

Fotografía post operatoria al més de la cirugía

Antes de la Cirugía de Implantes

Después con Prótesis Definitiva fija
Palabras Clave: Edentulismo, Tomografía, 3D, Implantes Dentales, All on Six, All on 6, PRF.
Autores: CMF J.L. Molina Moguel, CD R.V. Ávila Vázquez, H. Ruiz Iniestra
Referencias:
Gutierrez-Vargas, V. L., León-Manco, R. A., & Castillo-Andamayo, D. E. (2015). Edentulismo y necesidad de tratamiento protésico en adultos de ámbito urbano marginal. Revista Estomatológica Herediana, 25(3), 179-186.
Salud, C. (30 de julio de 2016). Obtenido de https://www.salud.mapfre.es/salud-familiar/salud-dental/enfermedades-bucodentales/edentulismo-que-pasa-cuando-perdemos-dientes/
