
Los implantes pterigoideos son un tipo de implante dental que se usa en el maxilar superior y son muy útiles cuando no hay suficiente hueso en la tuberosidad del maxilar, y se fijan a través del hueso del maxilar en la apófisis pterigomaxilar del esfenoides; esta fijación hace que los implantes tomen parte de este hueso más denso y se mantengan mejor durante más tiempo.
Los implantes pterigoideos se realizan mediante anestesia local y el procedimiento es muy similar el de los implantes convencionales, la única diferencia reside en la necesidad de un mayor trabajo previo por el cirujano maxilofacial, que debe conocer de forma precisa el maxilar del paciente para poder realizar este implante de forma correcta: debe llegar al apófisis pterigoides mediante la correcta inclinación, evitando complicaciones posteriores y sobre todo evitando el posible fallo en la osteointegración.
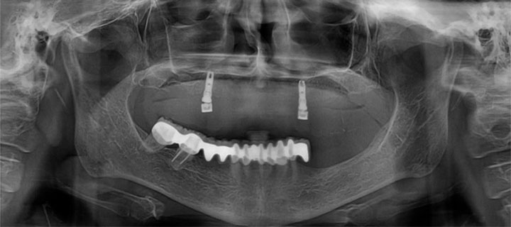
Paciente femenino de 68 años de edad, a la evaluación clínica, se observa edéntulismo total de la arcada superior, entre los hallazgos radiográficos, se encontraron dos implantes dentales a nivel de primeros premolares, así mismo, se observó poco remanente oseo en maxilar, se propuso la colocación de implantes dentales con la técnica all on 6 y un implante pterigoideo para refuerzo.
En el diagnostico en algunos casos es muy importante tomar una tomografía y realizar el estudio en 3D, para mayor seguridad del caso, en el estudio 3D podemos identificar por colores los espacios y estructuras anatómicas, así como también posicionar implantes dentales y conocer el número, tamaño y posición de los mismos.
El implante pterigoideo, de 13 a 15 mm de longitud, permite la rehabilitación protésica del sector posterior de un maxilar atrófico, evitando la necesidad de injertar o utilizar extensiones protésicas.
Estos implantes llegan hasta las apófisis Pterigoides, que son unas láminas óseas que se encuentran tras el maxilar superior, la fijación en estos huesos genera unos pilares muy resistentes y que permiten la sustentación de las prótesis dentales, incluso cuando no existe la cantidad necesaria de hueso y evitando tratamientos más costosos y complejos como el injerto de hueso.
Rx panorámica postoperatorio inmediato de la colocación del implante pterigoideo
A los meses de espera de la osteointegración de los implantes, se procedió a la rehabilitación total de la cavidad oral, logrando devolverle a la paciente estabilidad, estética y función.
El implante pterigoideo da un soporte integral, ferulizando la prótesis total completamente.
Palabras clave: Implantes dentales, implantes dentales pterigoideos, pterigoides, all on 6, 3D, multidireccionales, plasma rico en plaquetas.