Implantes Dentales – Trauma alveolar

Avulsión del diente, diagnóstico con 3D y reconstrucción con implantes dentales
El trauma alveolar se define como un impacto agresivo sobre las estructuras biológicas dentales y/o estructuras adyacentes de las cuales se deriva algún tipo de lesión.
Las lesiones traumáticas dentales han sido clasificadas de acuerdo a una gran variedad de factores, como son, etiológicos, anatómicos, patológicos, de consideraciones terapéuticas y del grado de severidad. La siguiente clasificación se basa en un sistema adoptado por la Organización Mundial de la Salud OMS, el cual se aplica en la Clasificación Internacional de las Enfermedades en Odontología y estomatología. Sin embargo, con el fin de incluir otras entidades no incluidas en la clasificación de la OMS, Andreasen y colaboradores realizaron modificaciones que incluyen las lesiones de los dientes, de las estructuras de soporte, de la encía y mucosas orales y es aplicable tanto para la dentición temporal como permanente.

Avulsión del diente
Es la expulsión del diente fuera del alvéolo. La intensidad y la forma del impacto, agregados a la estructura débil del ligamento periodontal favorecen el desplazamiento total del diente. El golpe provoca la extracción del diente, y las repercusiones funcionales y estéticas son inmediatas.
Tratamiento inmediato: reimplante en dentición permanente (no más de 60 min).
En dentición primaria: NO reimplantar.
Si el diente avulsionado está limpio, se debe colocar de inmediato en solución de hank, leche fría, suero fisiológico o agua destilada, otros autores sólo recomiendan mantenerlo dentro de la boca. De estar sucio, primero se lava con suero fisiológico. No debe rasparse, cepillarse, ni secarse, debe manipularse lo menos posible.
En caso de que no se tomen estas provisiones y que los dientes no se coloquen a tiempo es necesario extraerlos y ver la posibilidad de reconstruir de inmediato, con implantes dentales de titanio y materiales biológicos, o con plasma rico en plaquetas y o membranas reabsorbibles.
Si se tienen que extraer los dientes, no podemos dejar que se reabsorbe el hueso alveolar ni las estructuras blandas como los frenillos ni la zona de colágena gingival.
Caso clínico:
Paciente femenino de 30 años de edad, se presenta en el consultorio en incisivos centrales superiores, férula de alambre y acrílico. El tiempo de evolución es de 6 días después de sufrir una caída, causando la avulsión de sus dientes incisivos centrales, la trataron y colocaron los dientes dos días posterior al accidente.

Dientes Ferulizados
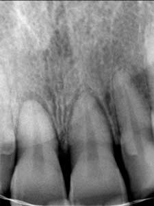
Se toma radiografía periapical con el radiovisiografo, encontrando zona radiolúcida periférica a los dos alvéolos, al retirar la férula los dientes se salen solos en condiciones desfavorables para su reinserción periodontal.

Radiografía Periapical

Dientes Centrales
Se realiza tomografía e imagen tridimensional 3D, observamos además de la lesión traumática, que la paciente tiene raíces enanas.


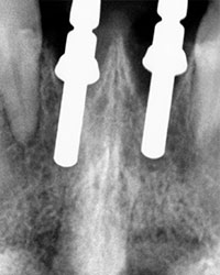
Decidimos: bajo anestesia local. previa asepsia y antisepsia, la limpieza de los alvéolos y la colocación de paralelos e implantes dentales.se colocan sus mismas coronas naturales para darle forma a los tejidos blandos y conservar papilas anatómicas.




Rx Panoramica Post Quirúrgica

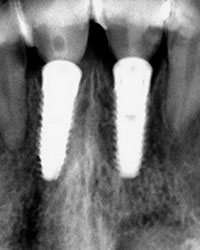
Coronas Provisionales Inmediatas
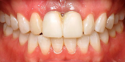
Posteriormente con citas de revisión periódicas damos tiempo de integración de 6 meses y procedemos a rehabilitar el caso con coronas de cerámica.




