
Cuando una persona se enfrenta a la pérdida de sus dientes, ya sea en la arcada superior o en la inferior, lo más recomendable para su salud bucodental es rehabilitar la zona mediante un tratamiento de implantes dentales.
De esta manera, se evitará el proceso de pérdida de hueso y encía que tiene lugar tras la caída de una pieza dental. Esto se debe a que al colocar el implante dental éste sustituye a la raíz original del diente, integrándose en el hueso y evitando su deterioro.
Estos implantes pueden soportar distintos tipos de prótesis o dientes artificiales. Una de ellas es la prótesis híbrida sobre implantes dentales, que es la opción que más se asemeja a tener los dientes naturales.
Se utiliza en pacientes completamente edéntulos, es decir, que no tienen ninguna pieza dental, ya sea en el maxilar, en la mandíbula o, incluso, en ambos. Y, que, además, presentan una pérdida moderada de hueso.
Por otro lado, este tipo de rehabilitación también está indicada en aquellas personas que, aunque aún mantienen dientes en la boca, dichas piezas dentales presentan un pronóstico imposible a corto plazo y están abocados al edentulismo total.
Antes de comenzar a fabricar la prótesis es necesario realizar un completo estudio del caso concreto de cada paciente, para asegurarnos de que ésta se ajusta completamente a sus necesidades (en todo lo relativo a color, tamaño, comodidad, etc).
Este procedimiento requiere, en primer lugar, que tomemos los registros de la boca del paciente a través de una tomografía cone beam la cual se transfiere a el software que se encarga de proyectar la prótesis a través de la reproducción digital en 3D y obtener el mejor diagnóstico.
En el mismo software se realiza la planificación para la colocación de los implantes colocando virtualmente los implantes en la zona favorable y de esta manera se realiza una guía quirúrgica.
El día de la cirugía la paciente sale de la clínica con prótesis inmediatas removibles las cuales fueron elaboradas con modelos de trabajo tomados previo a la cirugía.
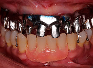
La prótesis dental híbrida es una estructura fija atornillada sobre implantes dentales que tiene como objetivo reponer las piezas dentales y tejidos blandos -encía- perdidos.
Este tipo de prótesis es una buena opción a valorar, ya que es el tratamiento rehabilitador que más se asemeja a la sensación de contar con los propios dientes.
Dicha sensación se debe fundamentalmente a que es fija y no lleva paladar. Por ello, aporta gran estética, seguridad y comodidad a quien la lleva.
La prótesis dental híbrida consta de una estructura de metal recubierta de varias capas de porcelana blanca y rosa que dan la estética de los dientes y de la encía.
Dicha estructura se atornilla sobre los implantes que se han colocado previamente en el hueso mediante la cirugía.
Esto se hace mediante unos tornillos intermedios que fijan toda la estructura y sellan el espacio entre la prótesis y los implantes.
Por último, la entrada de estos tornillos a través de la prótesis se sella mediante el uso de teflón y resina, como si se estuviera realizando una obturación o empaste dental.
Esta estructura de metal irá recubierta de una resina compuesta de laboratorio, que es la que va a dar la estética de los dientes y de la encía rosa.
Palabras clave: Periodontitis, implantes, prótesis híbrida, estructura de metal, resina acrílica, tomografía 3D.
Autores: C.M.F. José Luis Molina Moguel, C.D. Vanessa Avila Vazquez
Referencias:
Misch CE. Contemporary implant dentistry. 3ra. Edición. St. Louis, Missouri: Mosby Elsevier; 2008.
Gonzales J. The evolution of dental materials for hybrid prosthesis. The Open Dentistry Journal. 2014; 8: 85-94.
Zarb GA. The longitudinal clinical efficacy of osseointegrated implants a 3 year report, International Journal Oral and Maxillofacial Implants. 1987; 2: 91-100.
Cobb G, Metcalf M, Parsell D. An alternate treatment method for a fixed-detachable prosthesis. A clinical report. The Journal of Prosthetic Dentistry. 2003; 89 (3): 239-243.
Shibli JA, Piatelli A, Lezzi G. Effect of smoking on early bone healing around oxidized surfaces: a prospective, controlled study in humans jaw. J Periodontol. 2010; 81:575-583.
Bain C, Moy P. The association between the failure of dental implants and cigarette smoking. Int J Oral Maxillofac Implants. 1993; 8: 609-615.
Grunder U, Gaberthuel T. Boitel N. Evaluating the clinical performance of the osseotite implant: Defining prosthetic predictability. Compend Contin Educ Dent. 1999; 20: 628-640.
Bain C. Long-term smoking cessation in dental implant patients. Toronto: 16th Scientific Meeting Academy of Osseointegration; 2001.
Balarezo JA. Prótesis sobreimplantes en el edéntulo total: Planificación y elaboración. Lima,Perú: Editorial Savia. 2014;.
Brida A, Agar J. A classification system of patients for esthetic fixed implant-supported prostheses in the edentulous maxilla. Compend Contin Educ Dent. 2010;31(5):366-8.
Tarnow DP, Emtiaz S, Classi A. Immediate loading of threaded implants at stage 1 surgery in edentulous arches: Ten consecutive case reports with 1- to 5-year data. Int J Oral Maxillofac Implants. 1997;12(3):319-2
Real-Osuna J, Almendros-Marqués N, Gay- Escoda C. Prevalence of complications after the oral rehabilitation with implant-supported hybrid
prostheses. Med Oral Patol Oral Cir Bucal. 2012;17 (1): 16-21.
Qamheya AH, Yeniyol S, Arısan V.Full Mouth Oral Rehabilitation by Maxillary Implant Supported Hybrid Denture Employing a Fiber Reinforced Material Instead of Conventional PMMA. Case Rep Dent. 2015;2015:841745
Kwon T, Bain P, Levin L, Systematic review of short (5-10 years) and long-term (10 years or more) survival and success of full-arch fixed dental hybrid prostheses and supporting implants. Journal of Dentistry, 2014; 42 (10): 1228-1241.
Egilmez F, Ergun G, Cekic-Nagas I, Bozkaya S. Implant-supported hybrid prosthesis: Conventional treatment method for borderline cases. Eur J Dent. 2015; 9: 442-8.
Rojas R, Vargas D, Belmont S. Rehabilitación con implantes osteointegrados en pacientes con tabaquismo como factor de riesgo. Revista Mexicana de Cirugía Bucal y Maxilofacial. 2015;11 (3): 81-90.
Rodriguez OF, Figueiredo R, Valmaseda E, Gay C. Postoperative complications in smoking patients treated with implants: a retrospective study. J Oral Maxillofac Surg. 2011; 69: 2152- 2157.